Ästhetisches Bleichen
Eine der beliebtesten und bewährtesten Maßnahmen ästhetischer Zahnmedizin ist anerkanntermaßen das Bleichen verfärbter, vergilbter Zähne. Heute verwendet man Carbamidperoxid um Zähne zahnschonend aufzuhellen. Es zeigen sich nach der Behandlung keine Veränderung am Zahnschmelz.
Das Mittel ist ungiftig und führt nach bisherigen Erkenntnissen zu keinerlei Schäden an Zahn oder Zahnfleisch.
Besonders empfehlenswert ist das Bleichen bei altersbedingten vergilbten oder grauen Zahnreihen, die trotz guter Zahnsubstanz unansehnlich wirken. Gelbliche und gleichmäßige Verfärbungen lassen sich generell besser aufhellen als weißliche Flecken oder horizontale Streifen.
Bei devitalen (wurzelgefüllten) Zähnen wird das Aufhellungspräparat direkt in den Zahn eingebracht (internes Bleichen); die Behandlung erfolgt ausschließlich in der Ordination.
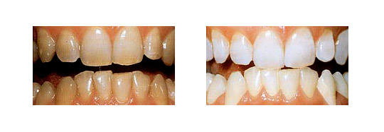
Altersververfärbungen vorher und nach 5 Behandlungen:

Für das Bleichen des gesamten Ober- und Unterkiefers verwenden wir das neue Verfahren mittels Kaltlichtlampe. Es ist meistens nur eine Sitzung notwendig.

Die Vorteile:
- Nur Cyan Kaltlicht / keine UV- Strahlung
- Einmalbehandlung von max. 30 Minuten
- Langfristiges Ergebnis
- Keine Rötungen im Gesicht
- 5 bis 14 Farbstufen heller (Vita-Schlüssel)
- Kaum Empfindlichkeitsstörungen vorhanden
Perfekte Mundhygiene unterstützt den Behandlungserfolg!
